Талашвили Гоча Георгиевич
Врач стоматолог–ортопед, хирург–имплантолог
37
года
Биография
Образование
- В 1987 г. — Окончил Тбилисский медицинский техникум им. Орджоникидзе по специальности зубной техник. Непрерывный стаж работы на должности старший техник.
- 1991–1996 гг. — Хабаровский государственный медицинский институт.
- 1996–1997 гг. — Интернатура по специальности ортопедическая стоматология.
- 2000 г. — Повышение квалификации по стоматологии
- 2003 г. — Повышение квалификации по избранным вопросам ортопедической стоматологии
- 2007 г. — Повышение квалификации по вопросам имплантологии, под руководством профессора Ушакова А.И., Москва, компания AIC
- 2009 г. — Повышение квалификации по ортопедической стоматологии и имплантологии. На базе Центрального научно-исследовательского института стоматологии и челюстно-лицевой хирургии.
- Прошел стажировку в отделении современных технологий протезирования.
- 2012 г. — Участие в Московском симпозиуме по имплантологии.
- 2014 г. — Международный симпозиум имплантологов. Под патронажем професора Бернара Туати, Доктора Родриго Кастилло и др., г. Москва.
- 2014 г. — OSSTEM ФОРУМ. Новое слово в современной инновационной технологии. г.Москва.
- 2015 г. — Курс по имплантологии: «Основы принятия решений в имплантологии: хирургические и ортопедические аспекты». NOBEL BIOCARE.
- 2015 г. — Курс имплантологии системы ASTRA TECH под руководством профессора А.И. Ушакова.
- 2015 г. — Курс по ортопедической стоматологии «Реконструкция улыбки». Протокол современного лечения — реставрации на основе оксида циркония и цельнокерамические, с опорой на естественных зубах и имплантах. Александр Бабуров.
Опыт работы в стоматологии:
- Опыт работы с различными имплантантами в течени 10 лет.
- Владеет всеми хирургическими навыками восстановления мягких и твердых тканей челюстей.
- Имеет собственные наработки.
- Удаление сложных , ретенированных зубов. Резекция верхушки корня. Пластика уздечек.
ОРТОПЕДИЧЕСКАЯ стоматология:
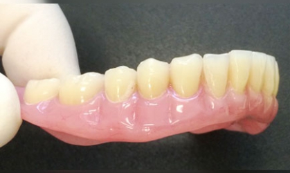
- Все виды ортопедических конструкций — съемное и не съемное протезирование.
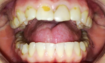
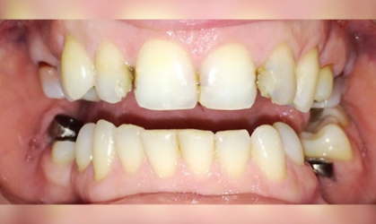
- Сложные, комбинированные реставрации зубов с наличием патологичесих изменений прикуса.
- Современный метод малоинвазивной обработки зубов с сохранением «живого» зуба.
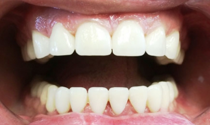
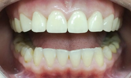
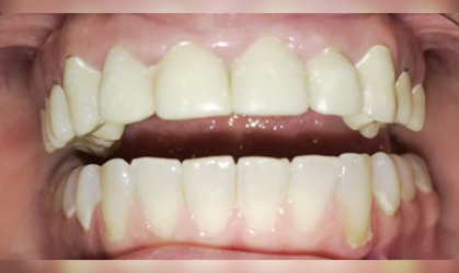
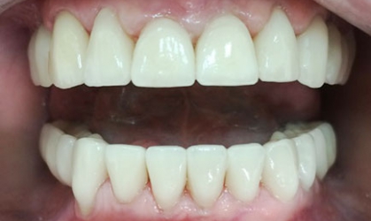
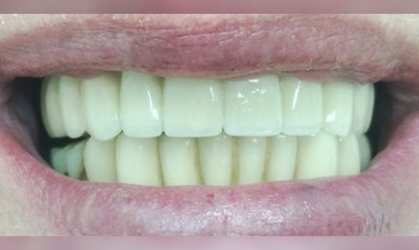
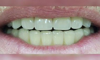
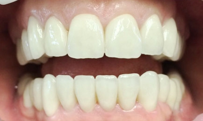
- Протезирование безметалловой керамикой, Виниры, Люминиры, цирконий.
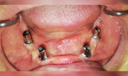
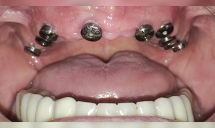
- Протезирование на имплантантах.
ЗУБОТЕХНИЧЕСКИЙ КОНТРОЛЬ
- Владеет всеми зуботехническими лабораторными этапами. Контролирует качество работ.

























